Ortodoncia y cirugía ortognática

Introducción
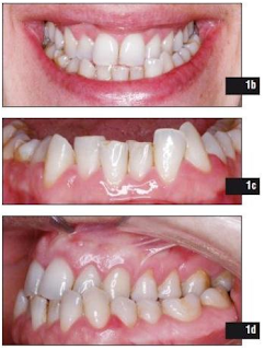
Presentamos el Tratamiento Multidisciplinar (TMD) de una paciente de 37 años con prognatismo mandibular y mordida cruzada anterior y posterior.

Tratamiento
Casi siempre, las CIII quirúrgicas presentan también una mordida cruzada posterior, que en parte queda resuelta automáticamente al poner las arcadas en CI –antes del tratamiento–. La magnitud de la discrepancia transversal entre las arcadas dentales determinará la técnica quirúrgica a emplear para expansionar el maxilar superior.

Cuando la discrepancia transversal es moderada, el maxilar superior se seccionará en cuatro segmentos –tres dentales y uno óseo (parasagital)– para permitir la expansión del mismo. Pero cuando la discrepancia transversal es marcada y los caninos superiores presentan, además, un torque excesivo, el SARPE –expansión rápida del paladar asistida quirúrgicamente– será la opción idónea. Es una sorpresa muy desagradable comprobar tarde, después de la cirugía bimaxilar, que los caninos inferiores no entran en la arcada superior. Por último, cuando la discrepancia es pequeña, el paciente podrá optar por terminar con una mordida cruzada posterior y una arcada superior con poco cambio transversal.

Se originó un espacio interdental a mesial del segundo premolar superior derecho, inmediatamente después de la cirugía, que no se pudo cerrar con la mecanoterapia habitual. La combinación de la mutilación del 14, la expansión quirúrgica y la rotación de 90° del 45 pueden explicar su aparición.

Cirugía: bajo anestesia general hipotensiva, se realizó una osteotomía maxilar tipo Le Fort I, con abordaje mínimamente invasivo (incisión de 2 cm), y la segmentación entre el incisivo lateral y el canino de cada lado para permitir la expansión. Se llevó a cabo el avance del maxilar y se fijó mediante dos miniplacas preformadas y tornillos de titanio.

A continuación, se procedió con una osteotomía sagital bilateral de mandíbula, que permitió el centrado de la misma. Las osteotomías se sujetaron con dos placas y ocho tornillos. Finalmente, se cerraron las incisiones, por planos, mediante sutura reabsorbible.

Resumen: se realizó ortodoncia y cirugía ortognática
Disciplinas: ortodoncia y cirugía ortognática.

Fuente: Maxillaris
Autor: Dr. Jaume Janer

INFORMACIÓN Y PRESUPUESTO ON-LINE